肺病理小班第三讲 粘液型腺癌 鳞癌
王兆宇,2017年3月26日
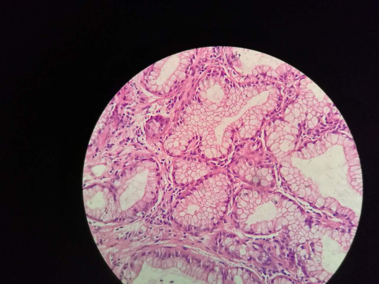
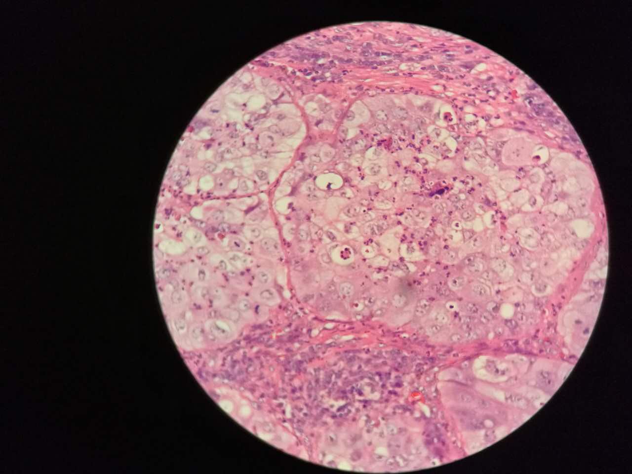
粘液型腺癌
粘液型腺癌是原发肺腺癌中的一种特殊类型
细胞内外含较多粘液

粘液型腺癌,细胞内粘液多,有点儿像支气管的粘液腺
单纯的粘液腺,没有浆液腺

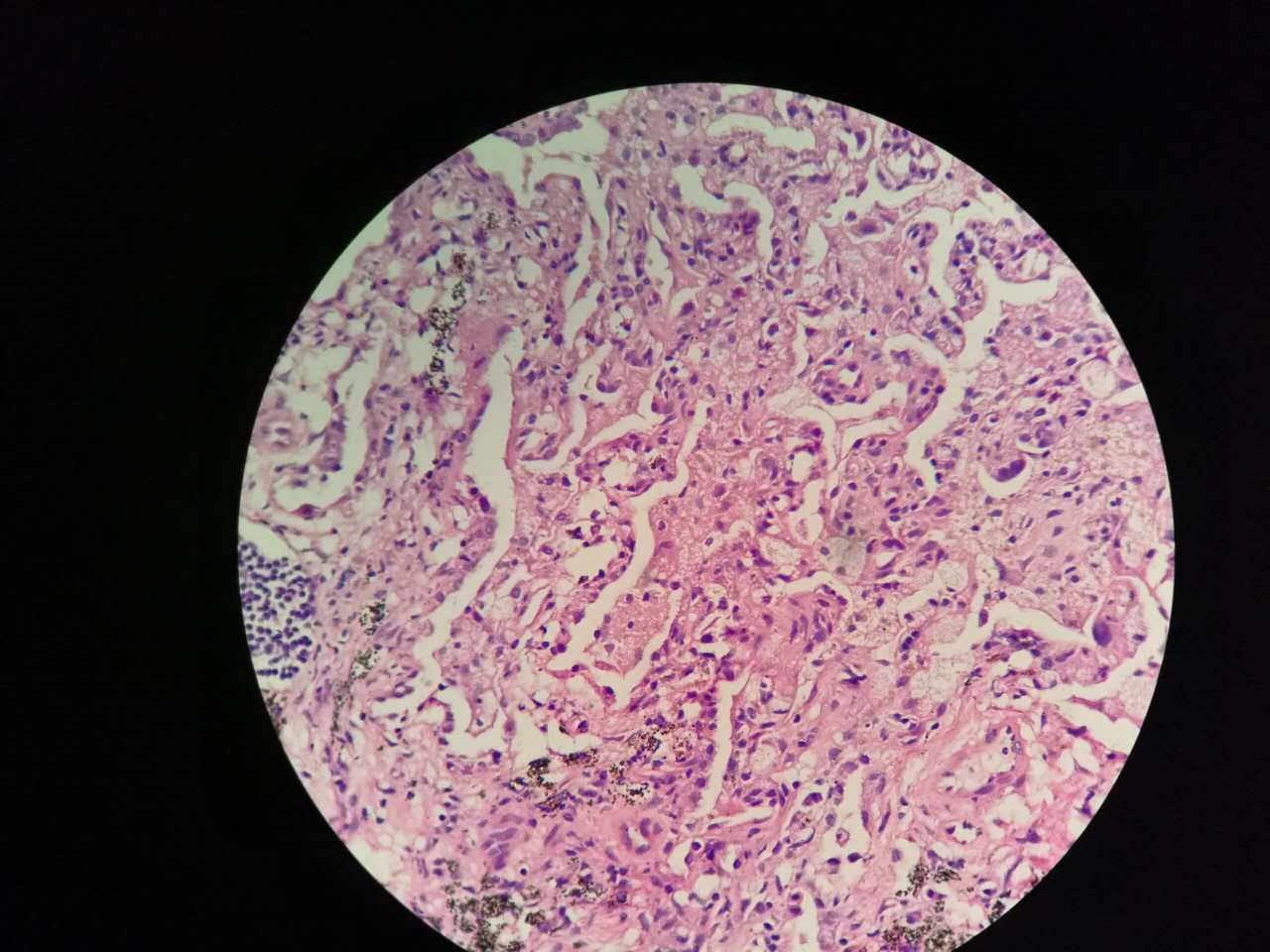
细胞外粘液湖
粘液腺癌起源于细支气管和肺泡
和普通型腺癌位置基本一样
细胞外粘液是白色偏微红
粘液型腺癌与支气管粘液腺没有关系!

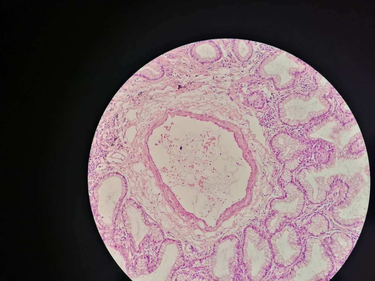
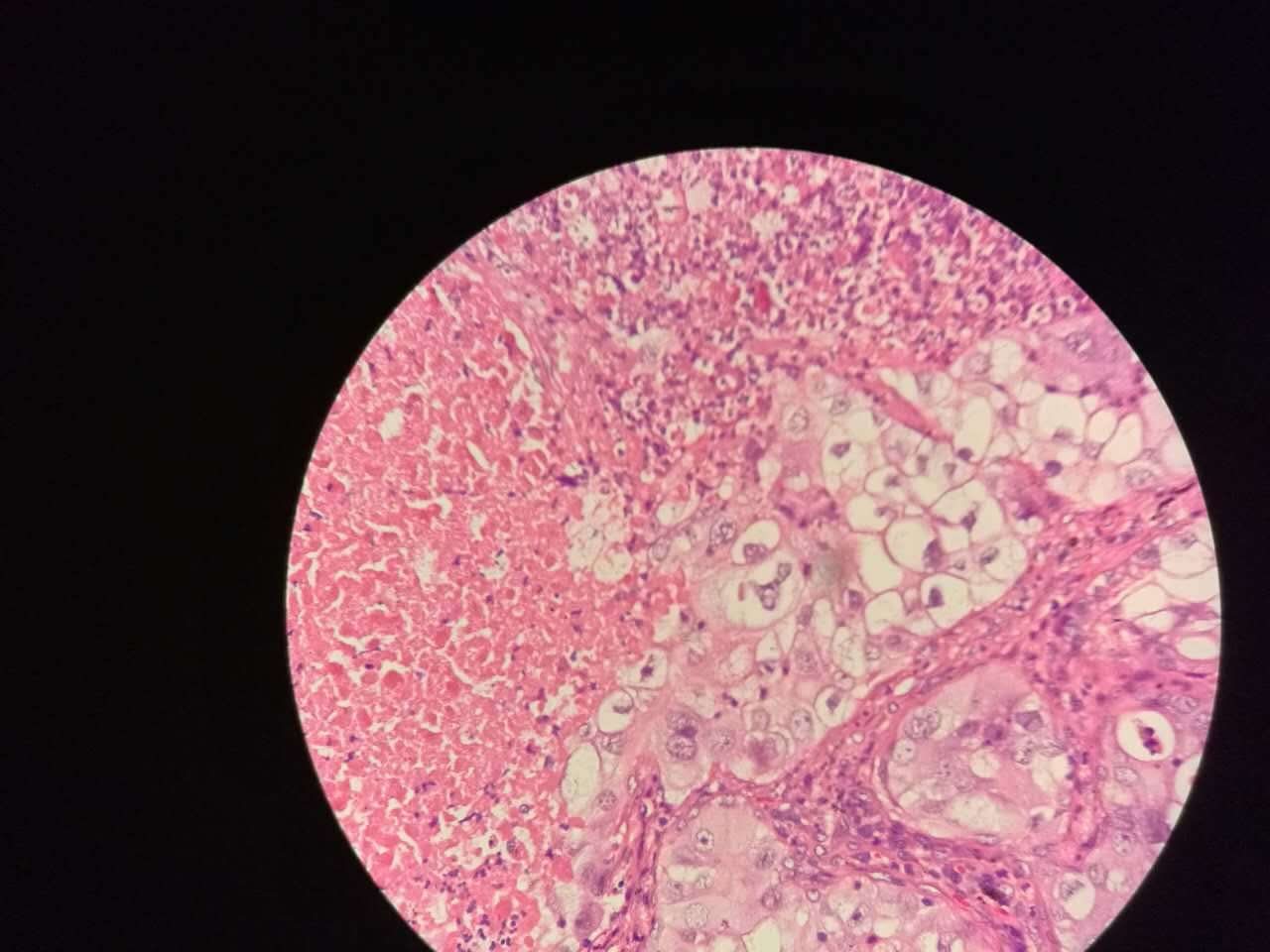
这一幅的上方都是黏液湖
下方是正常肺泡

细胞内白颜色区是粘液,细胞外洋流样的也是粘液(湖)

黏液湖里可以飘着一些细胞,吞噬细胞及肿瘤细胞。

肿瘤细胞飘出去可以种植于肺泡上。

肿瘤细胞堆经常是离开的


中间这一团,整个都是飘过来种植长成这样
这在进展后期特别多见
早期飘散常很近

这个是早期结节状的粘液型腺癌
随着粘液近距离播散

早期粘液漂散也是近距离的,右侧肺泡里干净,没粘液,粘液产量有限,并且互相有黏连牵制。
所以结节性粘液腺癌边界一般较清楚

粘液型腺癌的肿瘤细胞排列整齐,核位于基底,细胞呈柱状。
肺泡间隔(间质)经常比较细

差不多都长这样

这个生长密集,相对要重

这个细支气管,一半癌浸润
肿瘤细胞形态仍然相似

中央有个肺血管,说明破坏力不强


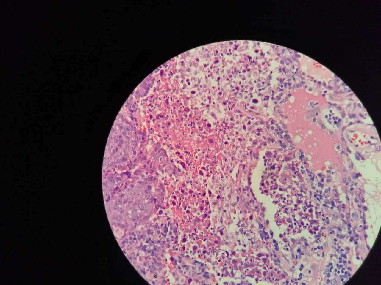
也会有些坏死,连同粘液咳出去,就形成实变区内的空洞
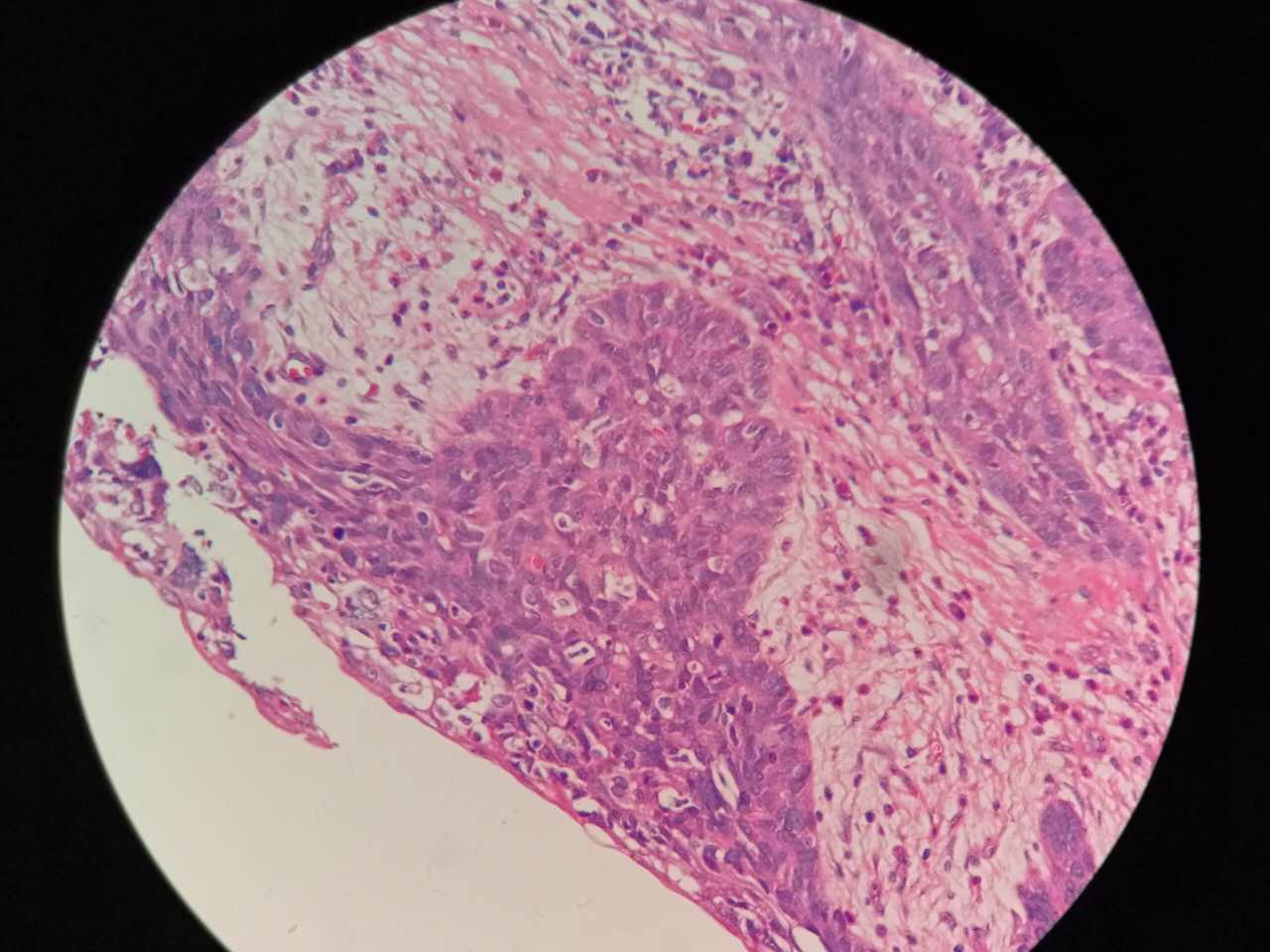
鳞癌

支气管柱状上皮鳞状化生

鳞状化生

支气管粘膜鳞癌
结构紊乱,细胞异型

支气管鳞癌
复层排列,细胞有很多层
基底侧边界清楚


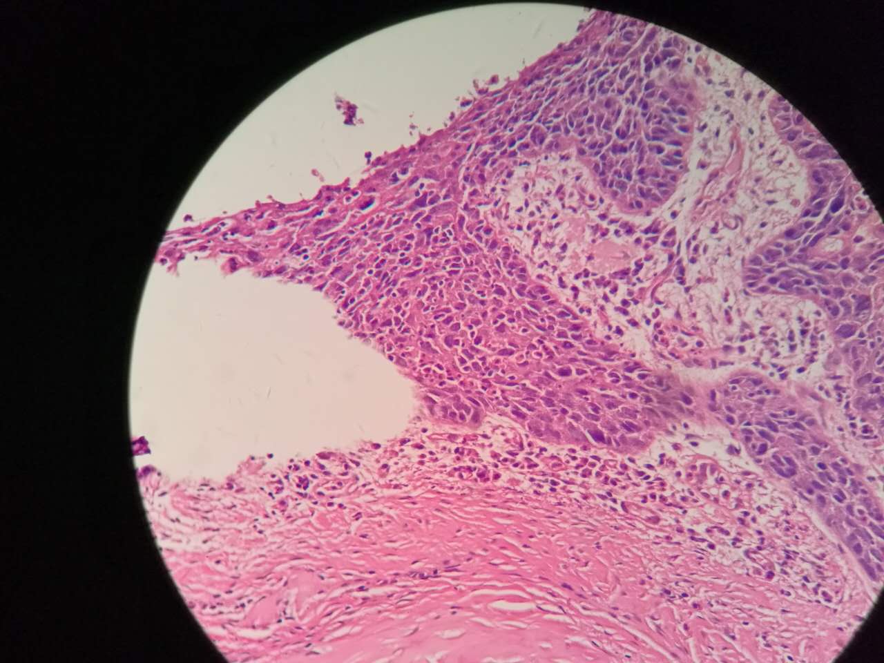
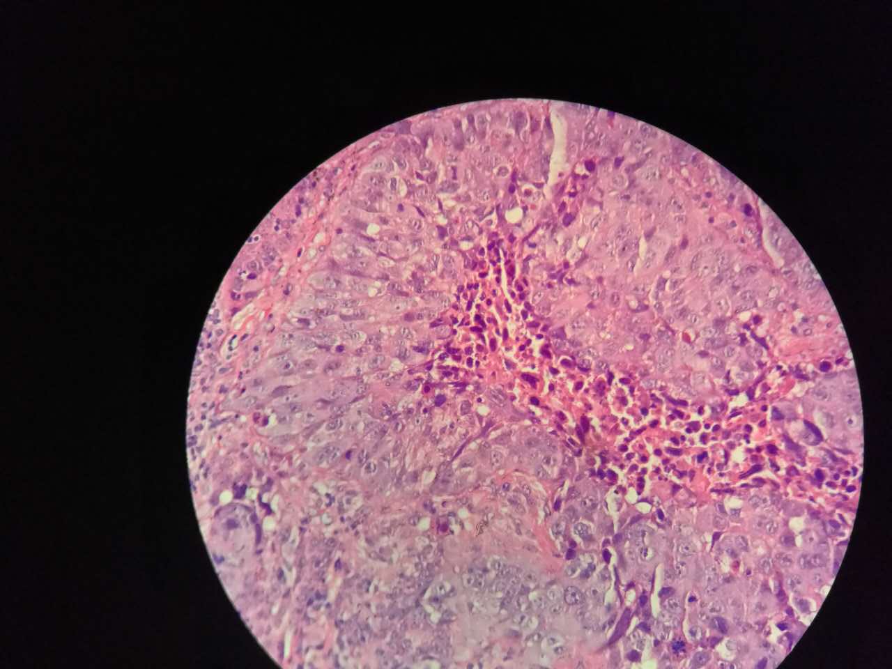
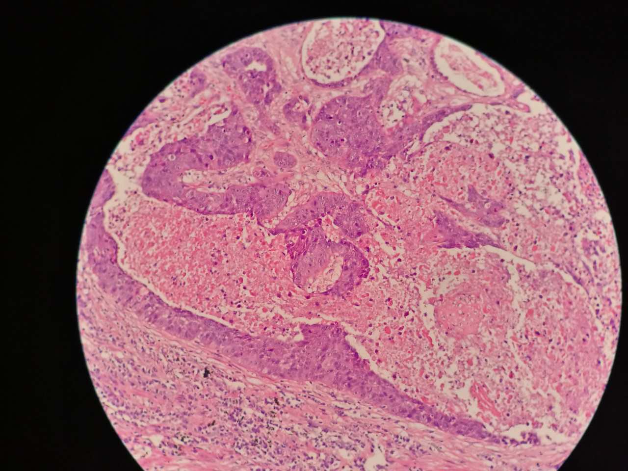
鳞癌生长,呈巢团状
巢团边界大多清楚


巢团可以很大,中央血供不足,就会坏死
中央红色的,有碎核
这个鳞癌不是早期
坏死也可以很大

较大的粉红区都是坏死,可以看出坏死是因为巢团大,中央坏死


下图是放大
鳞癌的核质比浸润性腺癌要紫兰一点儿
核仁也可以见到
但核仁不如浸润性腺癌明显
坏死会有许多团,有些只有一毫米大小,所以,建议增强扫描时候保留肿瘤区的薄层,以看到更多坏死区
鳞癌是从支气管鳞化,异型增生,癌变,浸润,这么发展过来的。强调!

这个下面的软骨说明了是大气管,中央型
鳞癌组织学本质上没有周围型!
因为都是发生于支气管的,没有发生于肺泡和呼吸性细支气管的。
当然亚段及以下就算周围型,有些只好归到周围型。
鳞癌长在支气管,很容易阻塞,截断
远侧可以阻塞性肺炎或阻塞性肺不张
病理医生取快速切片时,偶有把这些区域当做肿块,然后他们会报告什么呢?
炎性肿块!
这种低级错误会有的,病理医生必须从发生发展上把握疾病

这个就是阻塞性肺炎区域,炎症有时不重
没见到癌,但标本看着这里也挺实性的。

左手边有一点鳞癌,右手边有正常肺泡组织,中间有坏死物,这是为什么呢?

坏死物质渗出。
并且可以有吞噬,坏死物里常有血液成分
剖面多呈黄色
肿瘤周围不应是缺血,坏死一般在巢团内
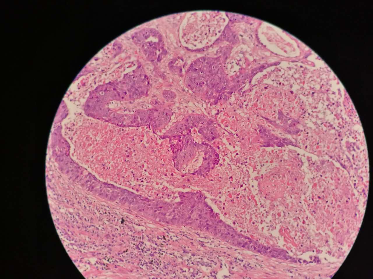
非角化型鳞癌


细胞胖胖的,核大而淡染
也是巢团状,也容易坏死
与实体型腺癌有时难区分,做免疫组化鉴别

左边坏死挺多
红染的,核没了
特征不明显


这是一般的鳞癌,坏死大
一侧常有突起,也就是壁结节。
壁结节不必等到空洞形成才判断,有坏死区就可以在增强片上判断有无壁结节

这个中央那块也算是小型的壁结节,肿瘤组织突入坏死区。或者说,这块肿瘤组织没坏死。

王老师,通过这四次病理学习班讲座学习了很多病理知识。有关肺癌的分化程度的问题我还有一些不明白。 腺癌基本理解: 高分化腺癌是AIS,MIA; 中分化腺癌:乳头状及腺泡状为主; 低分化腺癌是IAC(微乳头,实体生长); LPA,介于高分化与中分化之间。 我的问题是: 1、鳞癌的高、中、低分化是如何分的? 2、小细胞、类癌有没有类似的分化程度划分?@王兆宇
连晓峰:细胞间桥我理解为鳞状细胞之间像小梯子一样的结构,把各个鳞状细胞之间连接起来,鳞癌恶性程度越高,细胞间桥越少。有时候细胞形态不好区分,又没有角化珠,就得看细胞间桥来鉴别。不知道是不是这样理解,王老师@王兆宇 细胞间桥是鳞状细胞️高分化鳞癌、角化型鳞癌的特有结构吗?其它组织都没有吗? 王娟红:高分化,中分化鳞癌有,其他无,是鳞癌特有的

高分化,中分化鳞癌有,其他无,是鳞癌特有的
王娟红:@连晓峰河南安阳地区医院呼吸科 分化低的时候,鳞癌,腺癌分不清,只能靠免疫组化